É claro que
você já está cansado de saber o quanto é importante escovar os dentes na hora
em que acorda, depois das refeições e antes de dormir. Além de deixar seus
dentes limpinhos, a escovação (aliada ao fio dental) diminui a incidência de
cáries, tártaro, gengivite e mau hálito (quando este não tem origem estomacal).
No entanto, no auge do cansaço noturno, muita gente pula a escovação antes de
dormir e vai direto para a cama. E isso não é nada bom, pois, com as bactérias
“paradas” dentro da boca,
se produz o ambiente perfeito para elas agirem
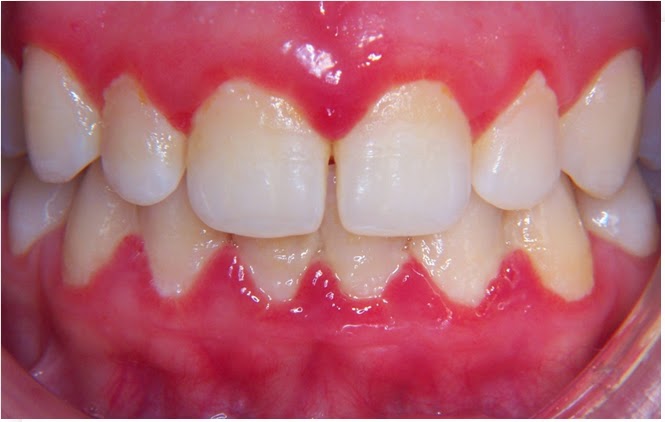
formando a placa, o que pode levar às cáries e doenças da gengiva.“Escovar os dentes, felizmente, perturba as bactérias para que elas não permaneçam no local. Porque, se deixadas na boca, elas começam a atacar os dentes. Além disso, quanto mais tempo a placa fica em um lugar, mais provavelmente ela se tornará tártaro", explicou o dentista Carlos Telles, da clínica Mais Sorriso.
E como, durante uma noite de sono, se fica cerca de 6 a 10 horas em média dormindo, as bactérias têm bastante tempo para agir. Vale lembrar que o tártaro, citado pela dentista é aquele material amarelo e áspero que pode ser formar nos dentes, podendo causar inflamação e sangramento nas gengivas.
Sem tratamento por muito tempo, o tártaro pode fazer até você perder os dentes. É claro que o processo não vai acontecer por um esquecimento ocasional, mas é necessário fazer uma forcinha para isso não acontecer com frequência.







Nenhum comentário:
Postar um comentário